切换至 "中华医学电子期刊资源库"

中华危重症医学杂志(电子版) ›› 2021, Vol. 14 ›› Issue (05) : 368 -373. doi: 10.3877/cma.j.issn.1674-6880.2021.05.004

论著

姜黄素对急性呼吸窘迫综合征大鼠肺组织及气道重塑的影响
杨茂宪1, 姚明2,(), 徐龙生3, 沈鹏1, 陈文宇4, 王倩倩1, 施云超1   
  1. 1. 314001 浙江嘉兴,嘉兴学院附属医院 嘉兴市第一医院重症医学科
    2. 314001 浙江嘉兴,嘉兴学院附属医院 嘉兴市第一医院麻醉科
    3. 314001 浙江嘉兴,嘉兴学院附属医院 嘉兴市第一医院中心实验室
    4. 314001 浙江嘉兴,嘉兴学院附属医院 嘉兴市第一医院呼吸科
  • 收稿日期:2021-01-30 出版日期:2021-10-31
  • 通信作者: 姚明
  • 基金资助:
    浙江省嘉兴市科技应急攻关项目(2020GZ30001); 浙江省嘉兴市医学重点学科-麻醉学(支撑学科)(2019-zc-06); 浙江省嘉兴市医学重点学科-重症医学(支撑学科)(2019-zc-12); 2020年高校直属附属医院抗疫专项项目(Y202043750)

Effect of curcumin pretreatment on lung tissue and airway remodeling in acute respiratory distress syndrome rats

Maoxian Yang1, Ming Yao2,(), Longsheng Xu3, Peng Shen1, Wenyu Chen4, Qianqian Wang1, Yunchao Shi1   

  1. 1. Department of Critical Care Medicine, Affiliated Hospital of Jiaxing University, the First Hospital of Jiaxing, Jiaxing 314001, China
    2. Department of Anesthesiology, Affiliated Hospital of Jiaxing University, the First Hospital of Jiaxing, Jiaxing 314001, China
    3. Department of Central Laboratory, Affiliated Hospital of Jiaxing University, the First Hospital of Jiaxing, Jiaxing 314001, China
    4. Department of Respiratory Medicine, Affiliated Hospital of Jiaxing University, the First Hospital of Jiaxing, Jiaxing 314001, China
  • Received:2021-01-30 Published:2021-10-31
  • Corresponding author: Ming Yao
引用本文:

杨茂宪, 姚明, 徐龙生, 沈鹏, 陈文宇, 王倩倩, 施云超. 姜黄素对急性呼吸窘迫综合征大鼠肺组织及气道重塑的影响[J/OL]. 中华危重症医学杂志(电子版), 2021, 14(05): 368-373.

Maoxian Yang, Ming Yao, Longsheng Xu, Peng Shen, Wenyu Chen, Qianqian Wang, Yunchao Shi. Effect of curcumin pretreatment on lung tissue and airway remodeling in acute respiratory distress syndrome rats[J/OL]. Chinese Journal of Critical Care Medicine(Electronic Edition), 2021, 14(05): 368-373.

目的

探讨姜黄素对气管内雾化脂多糖诱导的急性呼吸窘迫综合征(ARDS)大鼠肺组织纤维化及支气管杯状细胞的影响。

方法

将24只Sprague Dawley成年雄性大鼠分为对照组(仅气管内雾化等容积等渗NaCl溶液)、ARDS组(气管内雾化脂多糖4 mg/kg)、姜黄素组(复制ARDS模型30 min前腹腔注射姜黄素50 mg/kg),每组各8只。模型复制5 d后计算各组大鼠肺组织湿干重比值(W/D)、支气管肺泡灌洗液(BALF)中肿瘤坏死因子α(TNF-α)、Ⅲ型前胶原(PCⅢ)的含量。Western-blotting检测各组大鼠肺组织Toll样受体4(TLR4)及核因子κBp65(NF-κBp65)蛋白表达水平。同时,采用Masson染色观察肺组织胶原纤维分布,阿利新蓝-过碘酸-雪夫(AB-PAS)染色观察支气管杯状细胞和黏液的情况。

结果

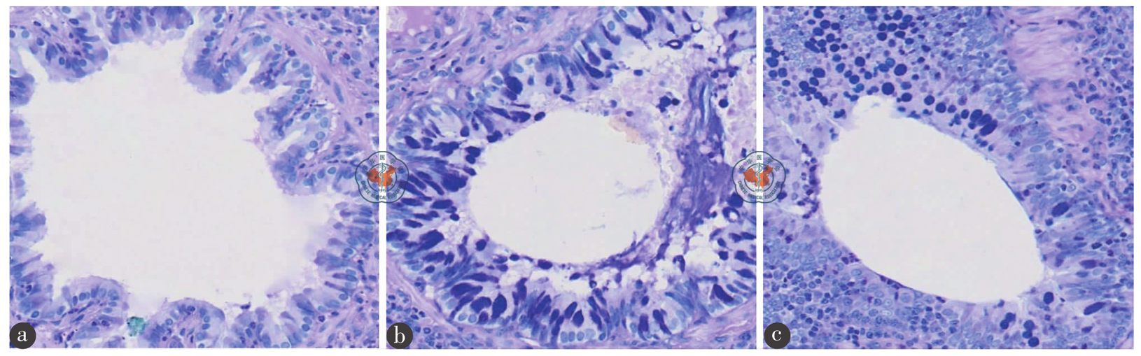
各组大鼠肺组织W/D,BALF中TNF-α、PCⅢ的含量,肺组织NF-κBp65及TLR4蛋白表达的比较,差异均有统计学意义(F = 136.155、139.639、95.353、94.034、67.540,P均< 0.001)。且与对照组比较,ARDS组和姜黄素组肺组织W/D[(3.99 ± 0.16)、(5.53 ± 0.15)、(4.81 ± 0.24)],BALF中的TNF-α[(61 ± 5)、(219 ± 25)、(157 ± 21)ng/L]和PCⅢ[(0.67 ± 0.22)、(61.66 ± 11.95)、(35.62 ± 9.64)μg/L]含量,肺组织中NF-κBp65及TLR4蛋白表达水平均显著升高,且ARDS组更高(P均< 0.05)。Masson染色显示,ARDS组肺间质呈广泛胶原纤维沉积,姜黄素组肺间质呈轻度弥漫性胶原纤维沉积。AB-PAS染色可见,ARDS组支气管上皮杯状细胞化生、姜黄素组支气管上皮杯状细胞轻度化生。

结论

姜黄素可以逆转脂多糖诱导的ARDS大鼠气道杯状细胞化生,改善肺组织纤维化,可能与抑制TLR4/NF-κB信号通路、改善肺部炎症反应有关。

Objective

To investigate the effect of curcumin pretreatment on pulmonary fibrosis and goblet cells in rats with acute respiratory distress syndrome (ARDS) induced by intratracheal aerosol lipopolysaccharide (LPS).

Methods

A total of 24 adult male Sprague Dawley rats were randomly divided into 3 groups: the control group (intratracheal aerosol of isotonic NaCl solution), ARDS group (intratracheal aerosol of LPS 4 mg/kg) and curcumin group (intraperitoneal injection of curcumin 50 mg/kg 30 min before aerosol of LPS 4 mg/kg), 8 rats in each group. The ratio of wet to dry weight (W/D) in lung tissue and the contents of tumor necrosis factor-alpha (TNF-α) and type Ⅲ procollagen (PCⅢ) in bronchoalveolar lavage fluid were calculated after 5 d of modeling in each group. The protein expression levels of Toll-like receptor 4 (TLR4) and nuclear factor-kappa Bp65 (NF-κBp65) in lung tissue were detected by Western-blotting. The distribution of collagen fibers was observed by Masson staining and the goblet cells and mucus were observed by alcian blue-periodic acid schiff (AB-PAS) staining.

Results

The W/D, TNF-α, PCⅢ, TLR4 protein and NF-κBp65 protein among the three group all showed significant differences (F = 136.155, 139.639, 95.353, 94.034, 67.540; all P<0.001). Compared with the control group, the W/D [(3.99 ± 0.16), (5.53 ± 0.15), (4.81 ± 0.24)], TNF-α [(61 ± 5), (219 ± 25), (157 ± 21) ng/L], PCⅢ [(0.67 ± 0.22), (61.66 ± 11.95), (35.62 ± 9.64) μg/L], TLR4 protein and NF-κBp65 protein increased obviously in the ARDS and curcumin groups, and they increased most in the ARDS group (all P < 0.05). Masson staining showed extensive collagen deposition in the ARDS group and mild diffuse collagen deposition in the curcumin group. AB-PAS staining showed goblet cell metaplasia in the ARDS group and mild goblet cell metaplasia in the curcumin group.

Conclusion

Curcumin can reverse goblet cell metaplasia and pulmonary fibrosis in LPS-induced ARDS rats, which may be related to improving lung inflammatory responses by inhibiting the TLR4/NF-κB pathway.

表1 各组大鼠肺组织W/D及BALF中TNF-α、PCⅢ水平的比较(±s
图1 各组大鼠肺组织中NF-κBp65及TLR4蛋白表达水平的比较(n = 8)
图2 各组大鼠肺组织病理变化
图3 各组大鼠肺组织支气管病理变化
1
ARDS Definition Task Force, Ranieri VM, Rubenfeld GD, et al. Acute respiratory distress syndrome: the Berlin definition[J]. JAMA, 2012, 307 (23): 2526-2533.
2
Barrot L, Asfar P, Mauny F, et al. Liberal or conservative oxygen therapy for acute respiratory distress syndrome[J]. N Engl J Med, 2020, 382 (11): 999-1008.
3
刘茜,王荣帅,屈国强,等.新型冠状病毒肺炎死亡尸体系统解剖大体观察报告[J].法医学杂志202036(1):21-23.
4
George PM, Wells AU, Jenkins RG. Pulmonary fibrosis and COVID-19: the potential role for antifibrotic therapy[J]. Lancet Respir Med, 2020, 8 (8): 807-815.
5
Cabler SS, French AR, Orvedahl A. A cytokine circus with a viral ringleader: SARS-CoV-2-associated cytokine storm syndromes[J]. Trends Mol Med, 2020, 26 (12): 1078-1085.
6
Karki R, Sharma BR, Tuladhar S, et al. Synergism of TNF-α and IFN-γ triggers inflammatory cell death, tissue damage, and mortality in SARS-CoV-2 infection and cytokine shock syndromes[J]. Cell, 2021, 184 (1): 149-168.e17.
7
Aghasafari P, George U, Pidaparti R. A review of inflammatory mechanism in airway diseases[J]. Inflamm Res, 2019, 68 (1): 59-74.
8
Babaei F, Nassiri-Asl M, Hosseinzadeh H. Curcumin (a constituent of turmeric): new treatment option against COVID-19[J]. Food Sci Nutr, 2020, 8 (10): 5215-5227.
9
Soni VK, Mehta A, Ratre YK, et al. Curcumin, a traditional spice component, can hold the promise against COVID-19?[J]. Eur J Pharmacol, 2020 (886): 173551.
10
Kumari A, Tyagi N, Dash D, et al. Intranasal curcumin ameliorates lipopolysaccharide-induced acute lung injury in mice[J]. Inflammation, 2015, 38 (3): 1103-1112.
11
Avasarala S, Zhang F, Liu G, et al. Curcumin modulates the inflammatory response and inhibits subsequent fibrosis in a mouse model of viral-induced acute respiratory distress syndrome[J]. PLoS One, 2013, 8 (2): e57285.
12
Chen YQ, Chai YS, Xie K, et al. Curcumin promotes the expression of IL-35 by regulating regulatory T cell differentiation and restrains uncontrolled inflammation and lung injury in mice[J]. Inflammation, 2020, 43 (5): 1913-1924.
13
Tang SE, Wu SY, Chu SJ, et al. Pre-treatment with ten-minute carbon dioxide inhalation prevents lipopolysaccharide-induced lung injury in mice via down-regulation of Toll-like receptor 4 expression[J]. Int J Mol Sci, 2019, 20 (24): 6293.
14
Ding Y, Feng Q, Chen J, et al. TLR4/NF-κB signaling pathway gene single nucleotide polymorphisms alter gene expression levels and affect ARDS occurrence and prognosis outcomes[J]. Medicine (Baltimore), 2019, 98 (26): e16029.
15
姜黎珊,姚明,杨茂宪,等.不同方式下气管内滴注脂多糖方法制作急性呼吸窘迫综合征大鼠模型[J/CD].中华危重症医学杂志(电子版)201912(2):80-84.
16
Rahimifard M, Maqbool F, Moeini-Nodeh S, et al. Targeting the TLR4 signaling pathway by polyphenols: a novel therapeutic strategy for neuroinflammation[J]. Ageing Res Rev, 2017 (36): 11-19.
17
孙雪东,严一核,褚韦韦,等.高迁移率族蛋白B1/Toll样受体4信号通路在脓毒症大鼠致急性肺损伤中的作用研究[J/CD].中华危重症医学杂志(电子版)202013(6):419-426.
18
Li W, Xu Q, Deng Y, et al. High-mobility group box 1 accelerates lipopolysaccharide-induced lung fibroblast proliferation in vitro: involvement of the NF-κB signaling pathway[J]. Lab Invest, 2015, 95 (6): 635-647.
19
浦其斌,方强,周建英,等.新型冠状病毒肺炎患者呼吸支持策略:浙大一院方案[J/CD].中华危重症医学杂志(电子版)202013(1):15-19.
20
Vanderheiden A, Ralfs P, Chirkova T, et al. Type Ⅰ and type Ⅲ interferons restrict SARS-CoV-2 infection of human airway epithelial cultures[J]. J Virol, 2020, 94 (19): e00985-20.
21
Liu Y, Lv J, Liu J, et al. Mucus production stimulated by IFN-AhR signaling triggers hypoxia of COVID-19[J]. Cell Res, 2020, 30 (12): 1078-1087.
22
Rose MC, Voynow JA. Respiratory tract mucin genes and mucin glycoproteins in health and disease[J]. Physiol Rev, 2006, 86 (1): 245-278.
23
Mall M, Grubb BR, Harkema JR, et al. Increased airway epithelial Na+ absorption produces cystic fibrosis-like lung disease in mice[J]. Nat Med, 2004, 10 (5): 487-493.
24
杨国彪,孙小军,徐萌敏.纤维支气管镜肺泡灌洗联合振动排痰在重症肺炎机械通气患者中的应用[J/CD].中华危重症医学杂志(电子版)202013(2):138-140.
[1] 刘思锐, 赵辰阳, 张睿, 张一休, 杨萌. 多普勒超声对孕鼠子宫动脉不同节段血流动力学参数的评估[J/OL]. 中华医学超声杂志(电子版), 2024, 21(09): 877-883.
[2] 李朋, 苗立帅, 朱智奇. 四氢嘧啶对大鼠关节软骨细胞的保护作用[J/OL]. 中华关节外科杂志(电子版), 2024, 18(01): 69-77.
[3] 林琳, 田思萌, 于永华, 徐飞飞, 黄明莉. 干细胞及其外泌体治疗宫腔黏连的研究现状[J/OL]. 中华妇幼临床医学杂志(电子版), 2024, 20(03): 271-275.
[4] 邓健, 王少华, 陈尊, 邹振庄. Keap1/Nrf2信号通路在脂多糖诱导宫内感染致新生鼠支气管肺发育不良的作用机制[J/OL]. 中华妇幼临床医学杂志(电子版), 2023, 19(06): 665-674.
[5] 张晓燕, 肖东琼, 高沪, 陈琳, 唐发娟, 李熙鸿. 转录因子12过表达对脓毒症相关性脑病大鼠大脑皮质的保护作用及其机制[J/OL]. 中华妇幼临床医学杂志(电子版), 2023, 19(05): 540-549.
[6] 靳茜雅, 黄晓松, 谭诚, 蒋琴, 侯昉, 李瑶悦, 徐冰, 贾红慧, 刘文英. 产前他克莫司治疗对先天性膈疝大鼠病理模型肺血管重构的影响[J/OL]. 中华妇幼临床医学杂志(电子版), 2023, 19(04): 428-436.
[7] 杨文飞, 郝嘉文, 鲁梦远, 赵学刚, 李聪颖, 盖晨阳, 张晶, 张庆富. 高压电烧伤对大鼠心肌氧化应激的影响及N-乙酰半胱氨酸的干预作用[J/OL]. 中华损伤与修复杂志(电子版), 2024, 19(02): 106-112.
[8] 魏强, 张明祥, 陈强谱, 孙宝房. 增味小承气汤对梗阻性黄疸大鼠胃肠道动力的影响[J/OL]. 中华普通外科学文献(电子版), 2023, 17(04): 267-270.
[9] 张礼刚, 邹志辉, 许顺, 蔡可可, 胡永涛, 梁朝朝. 酒精对慢性非细菌性前列腺炎中T淋巴细胞变化的影响研究[J/OL]. 中华腔镜泌尿外科杂志(电子版), 2024, 18(01): 74-81.
[10] 赛甫丁·艾比布拉, 买买提·依斯热依力, 李义亮, 王永康, 王志, 克力木·阿不都热依木. 不同材质补片修补对腹壁疝大鼠腹横筋膜组织转化生长因子-β1及Collagen合成代谢的作用[J/OL]. 中华疝和腹壁外科杂志(电子版), 2024, 18(02): 161-167.
[11] 刘锦程, 王斌, 张雯, 张明周, 刘禹, 叶东樊, 黄赞胜, 邱凌霄, 卿斌, 王创业, 王南博, 王苹, 郭宇航, 周培花, 程秋霞, 徐智. 肺泡灌洗液RASSF1A及SHOX2甲基化联合径向超声特征对肺结节性质鉴别诊断的意义[J/OL]. 中华肺部疾病杂志(电子版), 2024, 17(04): 505-511.
[12] 季加翠, 孙春斌, 罗恩丽. 姜黄素通过调节NF-κB/NLRP3通路减轻LPS诱导小胶质细胞神经炎症损伤[J/OL]. 中华细胞与干细胞杂志(电子版), 2024, 14(04): 193-203.
[13] 王向前, 李清峰, 陈磊, 丘文丹, 姚志成, 李熠, 吴荣焕. 姜黄素抑制肝细胞癌索拉非尼耐药作用及其调控机制[J/OL]. 中华肝脏外科手术学电子杂志, 2024, 13(05): 729-735.
[14] 萨仁高娃, 张英霞, 邓伟, 闫诺, 樊宁. 超声引导下鼠肝消融术后组织病理特征的变化规律及影响[J/OL]. 中华消化病与影像杂志(电子版), 2023, 13(06): 394-398.
[15] 王小红, 钱晶, 翁文俊, 周国雄, 朱顺星, 祁小鸣, 刘春, 王萍, 沈伟, 程睿智, 秦璟灏. 巯基丙酮酸硫基转移酶调控核因子κB信号介导自噬对重症急性胰腺炎大鼠的影响及机制[J/OL]. 中华消化病与影像杂志(电子版), 2023, 13(06): 422-426.
阅读次数
全文


摘要


AI


AI小编
你好!我是《中华医学电子期刊资源库》AI小编,有什么可以帮您的吗?