切换至 "中华医学电子期刊资源库"

中华危重症医学杂志(电子版) ›› 2025, Vol. 18 ›› Issue (06) : 441 -446. doi: 10.3877/cma.j.issn.1674-6880.2025.06.001

论著

基于抑制细菌RNA聚合酶探索杨梅素的抗结核作用及机制
赵敏星1, 赖宇佳2, 史婧3, 陆远强1,()   
  1. 1310003 杭州,浙江大学医学院附属第一医院急诊科
    2317100 浙江台州,台州市三门县人民医院急诊科
    3210023 南京,南京中医药大学医学院整合医学学院病原生物学系
  • 收稿日期:2025-10-23 出版日期:2025-12-31
  • 通信作者: 陆远强
  • 基金资助:
    南京中医药大学中药学一流学科开放课题(2020YLXK016)

Antituberculosis activity and mechanism of myricetin based on inhibition of bacterial RNA polymerase

Minxing Zhao1, Yujia Lai2, Jing Shi3, Yuanqiang Lu1,()   

  1. 1Department of Emergency Medicine, the First Affiliated Hospital, Zhejiang University School of Medicine, Hangzhou 310003, China
    2Department of Emergency Medicine, Sanmen People's Hospital, Taizhou 317100, China
    3Department of Pathogen Biology, School of Medicine & Holistic Integrative Medicine, Nanjing University of Chinese Medicine, Nanjing 210023, China
  • Received:2025-10-23 Published:2025-12-31
  • Corresponding author: Yuanqiang Lu
引用本文:

赵敏星, 赖宇佳, 史婧, 陆远强. 基于抑制细菌RNA聚合酶探索杨梅素的抗结核作用及机制[J/OL]. 中华危重症医学杂志(电子版), 2025, 18(06): 441-446.

Minxing Zhao, Yujia Lai, Jing Shi, Yuanqiang Lu. Antituberculosis activity and mechanism of myricetin based on inhibition of bacterial RNA polymerase[J/OL]. Chinese Journal of Critical Care Medicine(Electronic Edition), 2025, 18(06): 441-446.

目的

从抑制细菌RNA聚合酶(RNAP)角度探讨杨梅素的抗结核作用及机制。

方法

选取大肠杆菌RNAP(EcoRNAP)、结核分枝杆菌RNAP(MtbRNAP)为靶标蛋白,通过体外转录实验筛选出细菌RNAP抑制剂,杨梅素的活性验证分为A、B两组,每个大组设置4个浓度梯度,A组先加浓度为0、12.5、25、50 μmol/L杨梅素后加20 nmol/L启动子DNA;B组先加20 nmol/L启动子DNA后加浓度为0、12.5、25、50 μmol/L杨梅素。凝胶电泳迁移实验(EMSA)探索抑制机制,实验分为两组,不加杨梅素的样品为对照组,加杨梅素的样品为实验组。最后,药敏试验验证抑制剂对结核分枝杆菌敏感株和耐药株是否具有抑菌作用。

结果

体外转录实验表明,杨梅素对EcoRNAP(F = 13.290,P = 0.015)及MtbRNAP(F = 9.431,P = 0.028)均有抑制活性。EMSA提示,杨梅素在转录起始阶段通过阻碍EcoRNAP(t = 22.692,P < 0.001)、MtbRNAP(t = 21.581,P < 0.001)与启动子DNA的相互作用从而抑制RNAP的转录活性。药敏试验证实杨梅素对结核分枝杆菌敏感株和耐药株均具有抑菌作用。

结论

杨梅素通过抑制细菌RNAP与启动子DNA结合抑制细菌转录,对利福平和异烟肼耐药的结核分枝杆菌有抑菌作用,有望成为新型抗结核先导化合物。

Objective

To investigate the antituberculosis activity and mechanism of myricetin from the perspective of inhibiting bacterial RNA polymerase (RNAP).

Methods

The Escherichia coli RNAP (EcoRNAP) and Mycobacterium tuberculosis RNAP (MtbRNAP) were selected as target proteins. Bacterial RNAP inhibitors were identified using in vitro transcription experiments. The activity verification of myricetin was conducted in groups A and B, with four concentration gradients for each group. In the group A, myricetin at concentrations of 0, 12.5, 25, and 50 μmol/L was added first, followed by 20 nmol/L promoter DNA; the group B first added 20 nmol/L promoter DNA, followed by myricetin at concentrations of 0, 12.5, 25, and 50 μmol/L. The inhibition mechanism was studied using electrophoretic mobility shift assay (EMSA) in two groups: the control group (samples without myricetin) and the experimental group (samples with myricetin). Finally, the antituberculosis activity was tested against both antibiotic sensitive and resistant Mycobacterium tuberculosis strains.

Results

In vitro transcription experiments demonstrated that myricetin had inhibitory activity against both EcoRNAP (F = 13.290, P = 0.015) and MtbRNAP (F = 9.431, P = 0.028). EMSA indicated that myricetin disrupted RNAP-promoter DNA interactions during transcription initiation, especially EcoRNAP (t = 22.692, P < 0.001) and MtbRNAP (t = 21.581, P < 0.001). Drug sensitivity experiments confirmed that myricetin had antimicrobial activity against both antibiotic sensitive and resistant Mycobacterium tuberculosis strains.

Conclusions

Myricetin inhibits bacterial transcription by disrupting RNAP-promoter DNA interactions and has antimicrobial activity against rifampin and isoniazid resistant Mycobacterium tuberculosis. Myricetin may serve as a novel antituberculosis lead compound.

表1 EcoRNAP和MtbRNAP的表达载体与菌株信息汇总表
图1 杨梅素抑制细菌RNAP的体外转录活性注:RNAP. RNA聚合酶;EcoRNAP.大肠杆菌RNAP;MtbRNAP.结核分枝杆菌RNAP;a图为基于荧光的体外高通量筛选方法;b图为杨梅素抑制EcoRNAP的体外转录活性(n = 4);c图为杨梅素抑制MtbRNAP的体外转录活性(n = 4);A组先加杨梅素后加DNA,B组先加DNA后加杨梅素;与同组0 μmol/L比较,aP < 0.05;与A组同浓度比较,bP < 0.05
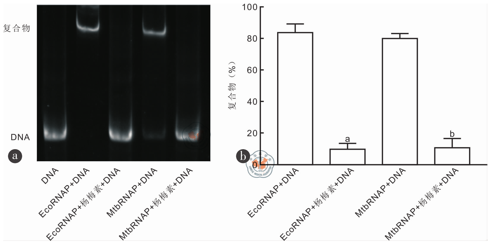
图2 杨梅素阻碍RNAP与启动子DNA的相互作用注:RNAP. RNA聚合酶;EcoRNAP.大肠杆菌RNAP;MtbRNAP.结核分枝杆菌RNAP;a图为200 μmol/L杨梅素对RNAP-DNA复合物形成的影响分析;b图为对a图中复合物浓度的统计分析(n = 3),与EcoRNAP + DNA比较,aP < 0.05;与MtbRNAP + DNA比较,bP < 0.05
表2 杨梅素的MIC
1
Maffioli SI, Zhang Y, Degen D, et al. Antibacterial nucleoside-analog inhibitor of bacterial RNA polymerase[J]. Cell, 2017, 169 (7): 1240-1248.e23.
2
Artsimovitch I, Chu C, Lynch AS, et al. A new class of bacterial RNA polymerase inhibitor affects nucleotide addition[J]. Science, 2003, 302 (5645): 650-654.
3
Belogurov GA, Vassylyeva MN, Sevostyanova A, et al. Transcription inactivation through local refolding of the RNA polymerase structure[J]. Nature, 2009, 457 (7227): 332-335.
4
Mukhopadhyay J, Das K, Ismail S, et al. The RNA polymerase "switch region" is a target for inhibitors[J]. Cell, 2008, 135 (2): 295-307.
5
Tuske S, Sarafianos SG, Wang X, et al. Inhibition of bacterial RNA polymerase by streptolydigin: stabilization of a straight-bridge-helix active-center conformation[J]. Cell, 2005, 122 (4): 541-552.
6
Rothstein DM. Rifamycins, alone and in combination[J]. Cold Spring Harb Perspect Med, 2016, 6 (7): a027011.
7
Aristoff PA, Garcia GA, Kirchhoff PD, et al. Rifamycins-obstacles and opportunities[J]. Tuberculosis (Edinb), 2010, 90 (2): 94-118.
8
Afroze N, Pramodh S, Hussain A, et al. A review on myricetin as a potential therapeutic candidate for cancer prevention[J]. 3 Biotech, 2020, 10 (5): 211.
9
Semwal DK, Semwal RB, Combrinck S, et al. Myricetin: a dietary molecule with diverse biological activities[J]. Nutrients, 2016, 8 (2): 90.
10
Song X, Tan L, Wang M, et al. Myricetin: a review of the most recent research[J]. Biomed Pharmacother, 2021, 134: 111017.
11
Taheri Y, Suleria HAR, Martins N, et al. Myricetin bioactive effects: moving from preclinical evidence to potential clinical applications[J]. BMC Complement Med Ther, 2020, 20 (1): 241.
12
Cetin-Karaca H, Newman MC. Antimicrobial efficacy of plant phenolic compounds against Salmonella and Escherichia Coli[J]. Food Bioscience, 2015, 11: 8-16.
13
Xu HX, Lee SF. Activity of plant flavonoids against antibiotic-resistant bacteria[J]. Phytother Res, 2001, 15 (1): 39-43.
14
Yadav AK, Thakur J, Prakash O, et al. Screening of flavonoids for antitubercular activity and their structure-activity relationships[J]. Med Chem Res, 2013, 22: 2706-2716.
15
Lin W, Mandal S, Degen D, et al. Structural basis of Mycobacterium tuberculosis transcription and transcription inhibition[J]. Mol Cell, 2017, 66 (2): 169-179.
16
Igarashi K, Ishihama A. Bipartite functional map of the E. coli RNA polymerase alpha subunit: involvement of the C-terminal region in transcription activation by cAMP-CRP[J]. Cell, 1991, 65 (6): 1015-1022.
17
Svetlov V, Artsimovitch I. Purification of bacterial RNA polymerase: tools and protocols[J]. Methods Mol Biol, 2015, 1276: 13-29.
18
Ho MX, Hudson BP, Das K, et al. Structures of RNA polymerase-antibiotic complexes[J]. Curr Opin Struct Biol, 2009, 19 (6): 715-723.
19
Ma C, Yang X, Lewis PJ. Bacterial transcription as a target for antibacterial drug development[J]. Microbiol Mol Biol Rev, 2016, 80 (1): 139-160.
20
史婧,冯钰.细菌RNA聚合酶抑制剂的分子生物学机制研究进展[J].浙江大学学报(医学版)201948(1):44-49.
21
Ijaz S, Akhtar N, Khan MS, et al. Plant derived anticancer agents: a green approach towards skin cancers[J]. Biomed Pharmacother, 2018, 103: 1643-1651.
22
Rezaeiamiri E, Bahramsoltani R, Rahimi R. Plant-derived natural agents as dietary supplements for the regulation of glycosylated hemoglobin: a review of clinical trials[J]. Clin Nutr, 2020, 39 (2): 331-342.
[1] 仲洋杨, 邓舒瑶, 李永杰, 李庄. 男性隐匿性乳腺癌一例[J/OL]. 中华乳腺病杂志(电子版), 2026, 20(01): 60-63.
[2] 汪秀静, 董梦婷, 盛佳钰, 江科. CDK4/6抑制剂致乳腺癌患者白癜风样皮损一例[J/OL]. 中华乳腺病杂志(电子版), 2025, 19(05): 311-313.
[3] 赵颖, 尹晓宇, 步华磊. 卵巢癌的分子诊疗临床应用现状[J/OL]. 中华妇幼临床医学杂志(电子版), 2025, 21(04): 380-385.
[4] 梁嘉佳, 谢峥文, 徐磊, 付贵华, 方志雄, 张海明. 化疗后肺癌合并肺结核患者临床特征及其不良结局的影响因素[J/OL]. 中华实验和临床感染病杂志(电子版), 2025, 19(06): 378-383.
[5] 重庆肺癌精准治疗协作组(CPLOG), 重庆市医药生物技术协会肿瘤罕见病疑难病专委会, 重庆市医学会肿瘤学分会化疗学组. 非小细胞肺癌三代表皮生长因子受体酪氨酸激酶抑制剂耐药后诊疗策略专家共识(2025版)[J/OL]. 中华肺部疾病杂志(电子版), 2025, 18(06): 847-859.
[6] 蒋延龄, 任瑾卓, 陈俊杰, 田秀丽, 莘翼翔, 张华. 血浆细胞因子谱预测非小细胞肺癌患者临床获益和免疫相关不良事件的意义[J/OL]. 中华肺部疾病杂志(电子版), 2025, 18(04): 558-563.
[7] 刘学飞, 赵东, 李婷婷, 李佳浓, 葛亚楠, 李博. RB1基因状态对非小细胞肺癌免疫检查点抑制剂联合化疗反应的意义[J/OL]. 中华肺部疾病杂志(电子版), 2025, 18(04): 580-585.
[8] 尹鹏飞, 吴堃, 王槐志, 蔡磊. 肝癌免疫治疗策略及其在围手术期中应用进展[J/OL]. 中华肝脏外科手术学电子杂志, 2026, 15(01): 21-27.
[9] 王利皓, 罗世超, 唐强, 尚栋良, 段少博, 卢冰, 李海, 薛飞. 仑伐替尼和PD-1抑制剂预处理联合TACE序贯治疗CNLC分期Ⅲ期肝癌疗效及安全性[J/OL]. 中华肝脏外科手术学电子杂志, 2025, 14(06): 868-874.
[10] 杨钰泽, 徐家豪, 杨一石, 王明达, 杨田. 肝细胞癌新辅助治疗进展[J/OL]. 中华肝脏外科手术学电子杂志, 2025, 14(04): 515-521.
[11] 匡嘉文, 陈铁军, 龚远锋, 唐辉, 唐云强. TACE-HAIC联合仑伐替尼和PD-1抑制剂四联治疗Ⅲa期肝癌的疗效[J/OL]. 中华肝脏外科手术学电子杂志, 2025, 14(04): 554-560.
[12] 张金珠, 陈海鹏, 赵志勋, 王锡山. 耗竭性CD8+T细胞表型对结直肠癌免疫检查点阻断剂疗效的影响[J/OL]. 中华结直肠疾病电子杂志, 2025, 14(06): 533-537.
[13] 王辉, 崔恬玉, 段凡. 哺乳动物雷帕霉素靶蛋白信号通路在IgA肾病发病机制中的作用研究进展[J/OL]. 中华肾病研究电子杂志, 2025, 14(04): 209-213.
[14] 再米拉·依力哈木, 蒋升, 艾比拜·玉素甫. SGLT2抑制剂与肾结石风险:一项荟萃分析[J/OL]. 中华临床医师杂志(电子版), 2025, 19(06): 446-453.
[15] 侯雨函, 姜福金, 王苏贵. 膀胱癌免疫治疗的研究进展[J/OL]. 中华临床医师杂志(电子版), 2025, 19(06): 471-475.
阅读次数
全文


摘要


AI


AI小编
你好!我是《中华医学电子期刊资源库》AI小编,有什么可以帮您的吗?